
FREE GROWTH CHECK AGES 7+
Orthodontist for Kids on Maui
We offer a Free Growth Check for kids ages 7+, no referral needed. When needed, our orthodontists offer early orthodontic treatment options to help guide your child's teeth and jaw development.
Why Age 7?
At age 7, your child is still growing! At this stage, most kids have a mix of baby and adult teeth, giving us a clear view of how things are developing. It allows us to spot and often prevent bigger orthodontic issues before they become more complex.
While most kids won’t need early treatment, for those who do, catching problems now can save significant time, cost, and effort down the road. And if no treatment is needed, a growth check still offers peace of mind that everything is on track.
By evaluating your child’s growth at age 7:
- We can catch developing issues early before they become complex or costly.
- We monitor progress yearly with no pressure to start unless it’s truly needed.
- We ensure any treatment begins at the ideal time for the best possible results.
What can we catch during a growth check?
- Crowding or spacing
- Overbite or underbite
- Delayed tooth eruption
- Jaw growth concerns
- Mouth breathing or airway problems
Missing these critical growth windows can lead to longer treatment and less ideal results. Let’s help your child grow into a confident, healthy smile.

Benefits of Early Treatment
Phase I treatment focuses on guiding jaw growth and creating a foundation for a lifelong healthy smile.
Guide Jaw Growth
Create facial symmetry by manipulating jaw growth early.
More Room for Teeth
Provide more room for crowded erupting adult teeth.
Preserve Space
Save space for adult teeth after early baby tooth loss.
Avoid Extractions
Reduce the possible need for future tooth extractions.
Faster Treatment
Reduce the overall treatment time in their teenage years.
Common Childhood Orthodontic Problems

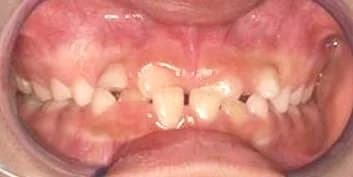
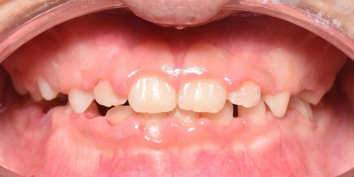
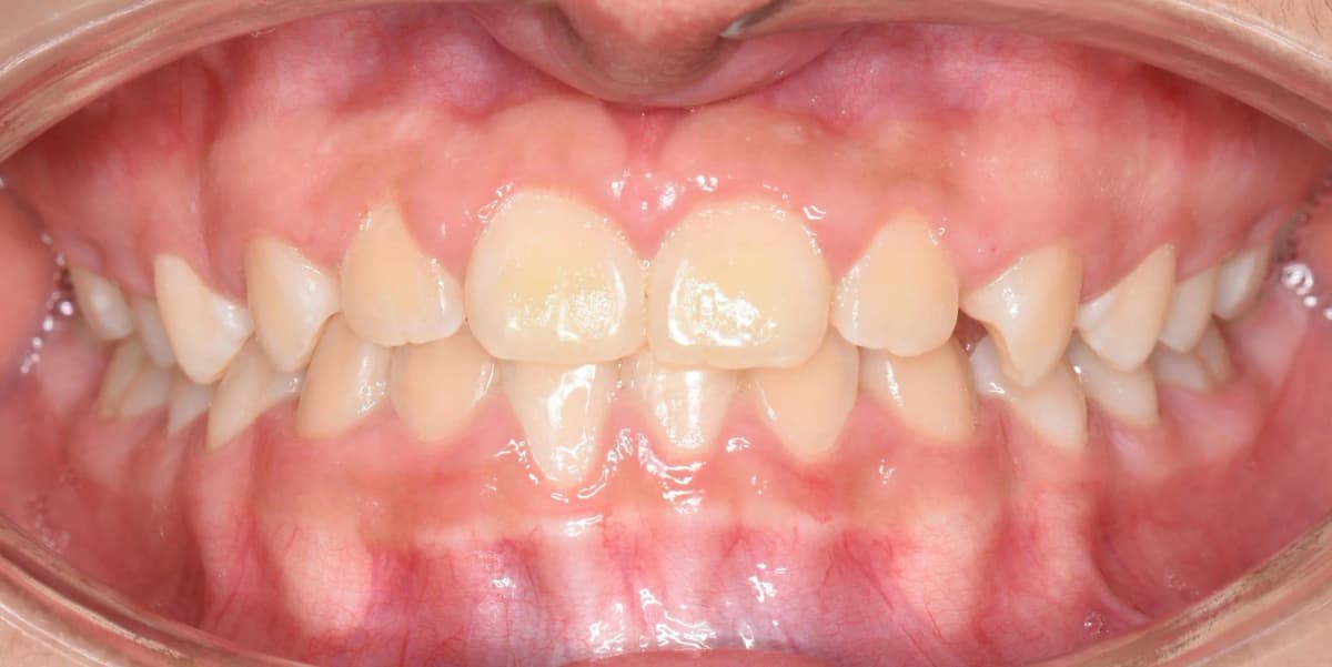
Kids Treatment Results
See the difference Phase I treatment can make for your child.



What You'll Experience
Your child's 60-minute growth assessment is designed to be fun, easy, and informative.
Step 1Complete Orthodontic Records
We take a full set of orthodontic X-rays and high resolution photos to evaluate your child's bite, alignment, jaw position, and facial symmetry. This is a comprehensive evaluation of growth and aesthetics.

Step 2Growth Assessment with Dr. Alex
Your child will meet directly with Dr. Alex, Maui's board certified orthodontist. He will assess your child's dental and facial structure, review their images, and answer any questions you may have.

Step 3In Depth Diagnosis and Treatment Goals
We walk through your child's diagnosis and discuss their specific growth goals. We ensure you have clear, honest answers about your child's dental development.

Step 4Treatment Options, Time, and Financing
You'll receive a personalized treatment timeline and explore options. We review flexible financing including interest free payment plans so you have complete clarity.

Step 5Growth Monitoring or Begin Treatment
If a child isn't ready for treatment, periodic monitoring appointments track tooth and jaw development. If Phase I treatment is recommended, we can often begin the same day.

What Our Patients are Saying About Our Orthodontists
3 Convenient Locations
Kahului – Makawao – Lahaina
BOOK YOUR FREE CONSULTATION TODAY!
505 Front St #202, Lahaina, HI 96761
Temporarily closed after the fire.
Stay tuned for updates on re-opening.
Maui's Top Orthodontist For Kids, Teens, And Adults.
The Maui Braces Difference
Complimentary Smile Assessment (Doctor Exam, Photos, and X-rays)
0% Financing with Affordable Payment Plans
Board-Certified Orthodontists providing the highest level of care
Braces or Invisalign for even the most complex cases
Insurance: We work with all major providers
We value your time. By using the most advanced orthodontic techniques, we typically have 30% less appointments than most offices.
Limited Consults Available Each Month. Schedule Now To Secure Your Spot.